Invisible Braces
Discreet teeth straightening for adults and teens in Princes Risborough, Buckinghamshire
Free initial consultation for Invisible Braces
Invisible braces such as the Invisalign system are the the revolutionary new way to straighten your teeth without the need for metal braces.
These systems consists of virtually invisible aligners that gradually reposition your teeth. It can be used to treat a variety of positional discrepancies, such as:
- Teeth are too close together or overlap each other.
- Gaps between teeth.
- Teeth that stick out.
- Front teeth that do not meet when you bite.
The main advantages of invisible braces over conventional braces are:
- Comfort - there are no metal wires or bands to irritate your mouth.
- Discrete - the aligners are virtually invisible to anyone unless they get very close, so hardly anyone will even notice that you are having treatment.
- Convenience - you remove the aligners to eat. This avoids the problem of food getting trapped between the wires and bands and allows you to maintain good oral hygiene.
These advantages allow you to straighten your teeth, giving you a great smile without causing disruption to you lifestyle. At Bank House Dentistry we don't just treat patients who live very close to us. We are pleased to have helped people who needed their crooked teeth straightening from nearby towns and villages such as Aylesbury, Thame and Chinnor. Travelling a few miles to get the treatment you deserve makes sense so why not give our friendly team a call?
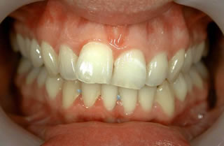
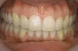
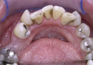
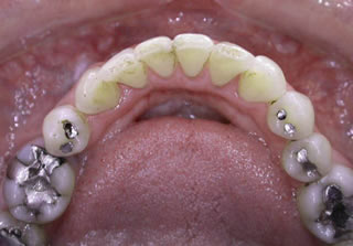
Before and After photos of Treatments






For more before and after photos, visit our Orthodontic Gallery.




