Cosmetic Dentistry
Treatments in Princes Risborough, Buckinghamshire
Free initial consultation
Veneers and Crowns
Veneers are thin laminates, usually made from porcelain, that can be bonded to the front surfaces of teeth to improve their shape, colour and position. Along with crowns, they can be used to give you a smile makeover, transforming your teeth and producing a "Hollywood smile".
Veneers and crowns can be used to correct many discrepancies such as:
- teeth that have worn down
- chipped teeth
- discoloured teeth, especially when the discolouration cannot be removed by tooth whitening
- gaps / spaces between teeth
- poorly aligned teeth
Veneers and crowns are individually handcrafted from porcelain by a highly skilled technician and are very strong, lasting up to fifteen years. They look very natural so people will not know you've had the treatment. They are easy to look after and will provide you with a youthful, long-lasting smile.
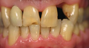
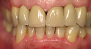
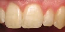
Before and after photos of our veneer and crown treatments






Cosmetic Bonding
This can be used in simple cases to reshape teeth, close small gaps and repair any defects, such as chips without any drilling or injections. A composite resin material is chosen to match the colour, translucency and consistency of your natural teeth and is then moulded to the desired shape, before being set in place using an ultra-violet light. This is carried out over just one appointment. Visit us to see how easily we can enhance your smile.
Before and after photos of our bonding treatment




Cosmetic contouring
This is a simple process in which adjustments can be made to your teeth to level uneven smile lines, converting an untidy smile into a younger looking, shapely one.



